
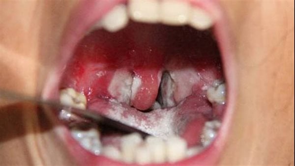
أفادت مصادر محلية ان سبعة أشخاص توفوا ببلدية تناها بمقاطعة كنكوصة في ولاية العصابة، وذلك جراء إصابتهم بمرض يرجح أنه الدفتيريا، فيما أصيب أكثر من 70 آخرين.
وقال عمدة البلدية بوبكر ولد محمد محمود - في تصريح لوكالة الأخبار المستقلة - إنه تم إغلاق الأسواق الأسبوعية كما تم إيقاف كل الأنشطة التي تؤدي إلى الازدحام والتجمع.
وأكد العمدة أن الأوضاع تحت السيطرة، وذلك حسب الجهات المختصة المشرفة على معاينة المرضى، لافتا إلى أن البلدية قامت بإجراء حملات تحسيسية بخطورة المرض.
كما أكد عدم تسجيل حالات جديدة في يومي الجمعة والسبت، مشيرا إلى أن من أخذوا الدواء تماثلوا للشفاء.